soins des gencives et prévention du déchaussement

Parodontologie : soin de gencives

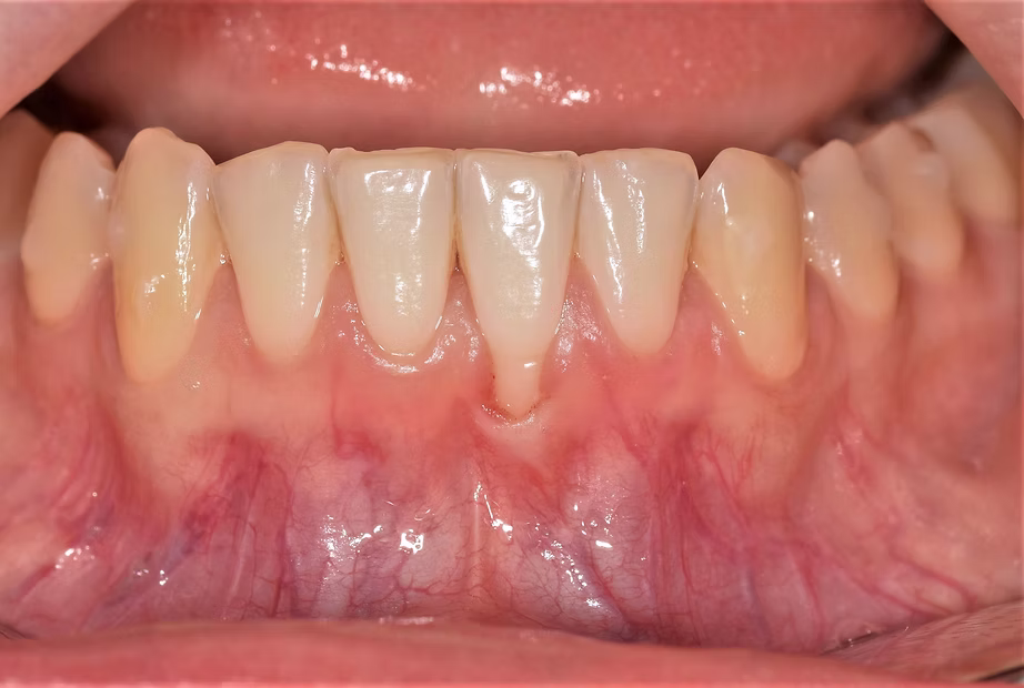
La parodontologie traite les maladies qui touchent les gencives et l’os qui soutient les dents. Ces inflammations évoluent souvent sans douleur au début, mais peuvent entraîner un déchaussement ou une perte de dents si elles ne sont pas prises en charge.

Plus on intervient tôt, plus il est facile de stabiliser la situation.

Cabinet

Signes qui doivent vous alerter

  • Saignement au brossage
  • Mauvaise haleine persistante
  • Gencives rouges, gonflées ou sensibles
  • Récession gingivale
  • Mobilité d’une ou plusieurs dents
  • Sensibilité au froid
  • Goût désagréable dans la bouche

Si vous n’êtes pas sûr de votre situation, nous pouvons vérifier l’état de vos gencives lors d’un bilan simple et rapide.

Plus d’informations sur la parondontologie

D’où vient la maladie parodontale ?

La parodontite est liée à une accumulation de bactéries sous les gencives. Sans nettoyage régulier, ces bactéries provoquent une inflammation qui détruit progressivement l’attache de la dent dans l’os.

Facteurs aggravants :

  • tabac
  • stress
  • génétique
  • diabète
  • hygiène insuffisante

Pourquoi traiter rapidement ?

Plus une parodontite avance, plus l’os se perd et plus il devient difficile de stabiliser la dent.

Un traitement précoce permet souvent d’éviter des interventions plus lourdes et de préserver toutes vos dents.

Ce que vous pouvez faire pour prévenir la parodontite

  1. Hygiène bucco-dentaire rigoureuse
    • Brossez-vous les dents 2x par jour pendant 2 minutes avec un dentifrice fluoré.
    • Utilisez du fil dentaire ou des brossettes interdentaires 1x par jour pour nettoyer les zones difficiles d accès.
  2. Alimentation équilibrée
    • Limitez le sucre et les aliments acides, qui favorisent caries et inflammations.
    • Privilégiez les aliments riches en calcium et vitamines (notamment la vitamine C) pour renforcer dents et gencives.
  3. Visites régulières au cabinet
    • Faites un contrôle tous les six mois pour détecter rapidement les problèmes.
    • Un détartrage professionnel permet d éliminer le tartre et de prévenir la gingivite.

Esthétique dentaire par greffe de gencives 

Les parodontologues s’occupent également de l’esthétique dentaire par greffe de gencives (« l’esthétique rose ») et des implants dentaires.

Ce que nos clients en pensent

4,8
★★★★★

Je suis extrêmement reconnaissante pour les soins reçus. Ayant une vraie phobie du dentiste, je redoutais ce rendez-vous, mais ma dentiste a su me mettre en confiance comme toujours et ceci dès les premières minutes. Sa douceur, son écoute et son professionnalisme sont rares et précieux. Grâce à elle, j'ai pu vivre un traitement sereinement. C'est une vraie perle dans son domaine !

Mon expérience a été extrêmement positive, et je souhaite faire un remerciement tout particulier à madame Dal Zotto. Elle a su me rassurer avec sa gentillesse et sa douceur, ce qui a véritablement transformé ma perception des dentistes.

Ma fille de 9 ans a été suivie chez l'hygiéniste Yasmina elle est très douce, prend le temps avec l'enfant donne des conseils je la recommande à 100%. Elle fait un super travail

Bon accueil, excellent traitement, maîtrise et qualité du travail. Une belle équipe avec une bonne moralité. Tous nos remerciements et notre appréciation à l'équipe de travail.

Nos soins dentaires